Este sitio web utiliza cookies para mejorar la experiencia de navegación, personalizar las tutorías académicas y desarrollar investigación pedagógica. Si continúa consideramos que acepta su uso. Acepto Política de cookies

Practicum Script es un modelo pedagógico que no está centrado en la enseñanza, sino en el aprendizaje reflexivo y autorregulado de los participantes. Está destinado a médicos especialistas o en etapa final de residencia.

Al asociarse, cada miembro se integra a una red colaborativa internacional de razonadores clínicos. Los miembros de este club virtual comparten la pasión por los desafíos intelectuales complejos inherentes a la toma de decisiones, así como por la controversia y el debate clínico centrado en el paciente.

Por su naturaleza innovadora, Practicum Script es una obra en constante perfeccionamiento y con grandes potencialidades para su desarrollo. Cada participante contribuye a darle mayor efectividad al modelo de entrenamiento.

METODOLOGÍA

Los contenidos son producidos por un comité internacional de expertos de cada especialidad. Una parte de ellos actúa como autores, proveyendo casos reales que se organizan con rigor metodológico. La otra parte de los expertos interviene como validadores de estos casos, respondiendo los desafíos clínicos y tomando decisiones en contextos de incertidumbre, de modo análogo a lo que vive el participante a lo largo de la simulación.

Todos los expertos toman decisiones individualmente, no en grupo ni por consenso, ceñidos a un tiempo máximo cronometrado, y exponen la lógica de pensamiento que avalan sus decisiones en los escenarios que se presentan.

Las decisiones de los expertos se fundamentan en su pericia clínica (medicina basada en la experiencia) y se complementan con el análisis de la literatura científica utilizando filtros metodológicos (medicina basada en evidencias). Las respuestas de los expertos son agrupadas mostrando la concordancia y la discrepancia entre ellos.

El participante se enfrenta a los mismos escenarios clínicos que recorrieron los expertos y juega confrontando sus decisiones con las de ellos, recibiendo retroalimentación inmediata respecto de sus coincidencias o divergencias. A medida que el juego de simulación se desarrolla, el participante se acerca a la meta que acreditará su aprendizaje experiencial (certificación/titulación) obteniendo además una distinción dentro del club de pensadores clínicos de su especialidad.

BASES TEÓRICAS

El programa Practicum Script responde a la “Teoría de Scripts”, perteneciente a las neurociencias y la psicología cognitiva.

El concepto neurobiológico de Scripts se fundamenta en la existencia, en la mente del profesional, de una estructura

cognitiva basada en redes de conocimientos fruto de su experiencia clínica, que dirige todo el proceso de decisiones en la práctica médica.

Acorde con este modelo teórico, el pensamiento clínico pasa por dos etapas secuenciales:

Una primera etapa de pensamiento corto o rápido (pensamiento abductivo o "Script triggering"), en la que la información inicial del paciente da lugar a una irrupción instantánea, automática e inconsciente de hipótesis, que provienen del reconocimiento de patrones, como resultado de automatismos cerebrales dependientes de la experiencia clínica previa.

Una segunda etapa de pensamiento largo (pensamiento hipotético-deductivo o "Script processing"), en la que a través de nuevas informaciones se comparan y contrastan alternativas para verificar o descartar las hipótesis iniciales.

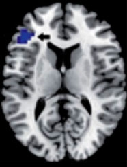
Esta “teoría dual del razonamiento” ha recibido recientemente un sólido sustento biológico a través de estudios con imágenes neurofuncionales del cerebro, que han demostrado dos patrones anatómicos diferentes de activación de áreas corticales durante los procesos de pensamiento no analítico y analítico involucrados en la toma de decisiones médicas.

Pensamiento analítico
Pensamiento no analítico

Durning SJ, Costanzo ME, Van Der Vleuten C. Functional neuroimaging correlates of thinking flexibility and knowledge structure in memory: Exploring the relationships between clinical reasoning and diagnostic thinking. Med Teach. 2015 Jun 16:1-8

Script Connect
Centro de atención personalizada

Ponemos a su disposición un servicio de atención personalizado, a través del cual obtener soporte técnico y ayuda, tanto para la navegación dentro del sitio como para el uso del programa.

Preguntas frecuentes